Patients with extensive rehabilitation involve care from multiple medical disciplines, which often present unique and time-consuming considerations. Dr. Horton is trained to manage and appropriately stage the treatment needs of patients with extensive rehabilitation needs. The following cases are examples of some of these cases with a variety of restorative and surgical needs.
Broken or worn teeth
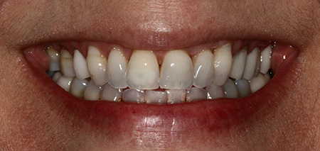
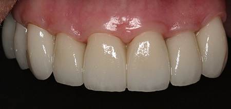
Case One
Before
After
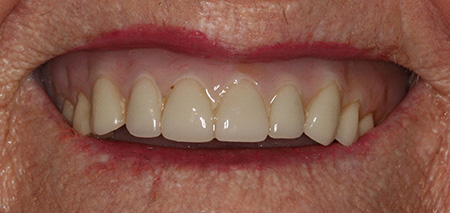
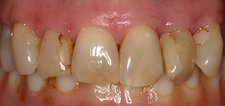
Case Two
Before
After
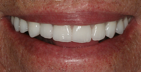
Subtle smile enhancements
Case One
Before
After
Case Two
Before
After
Case Three
Before
After
Case Four
Before
After
Case Five
Before
After
Case Six
Before
After
Case Seven
Before
After
Complex rehabilitation
Case One
Before
After
Case Two
Before
After
Case Three
Before
After
Case Four
Before
After




